联系热线:400-106-9998
点赞!左上腭长肿瘤,阿姨在这里“通关”了
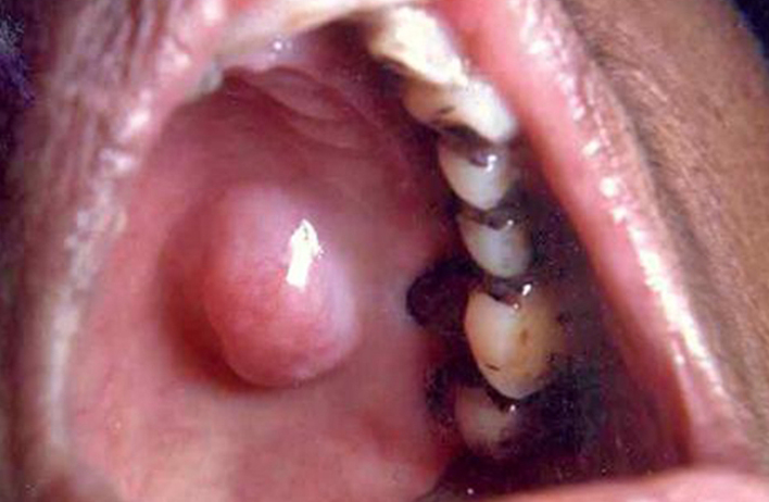
上颚,即我们口腔的“顶部天花板”,这个特殊部位一旦发生肿瘤,其最凶险之处在于极易向颈部淋巴结转移。患者吴女士便深受其扰,术后不到一年,肿瘤复发的信号——左侧下颌可触及的肿大包块便再次出现,这意味着病情已进展至淋巴结转移阶段,她也因此来到我院,寻求力挽狂澜的治疗良机。
精准诊断
多学科协作制定个性化方案
据悉,吴女士在其他医院就诊后肿瘤复发,左上腭出现肿块,双侧颈部淋巴结转移的复杂局面,这标志着病情已进入更具挑战性的阶段。初始手术的局限性与后续治疗的缺失,导致肿瘤卷土重来,这无疑对诊疗团队的技术与策略提出了极高要求。

在此关键时刻,我院肿瘤一科凭借其作为区域特色学科的深厚底蕴,迅速组织了多学科会诊。团队没有孤立地看待局部复发,而是通过精准的PET-CT与MR影像评估,全面绘制了肿瘤的“侵犯地图”,从而制定了“立体打击、综合清剿”的个体化方案。
我们率先应用了针对复发灶和淋巴引流区的根治性适形调强放疗(IMRT),该技术能像“精确制导”一样,将高剂量射线聚焦于肿瘤区域,同时最大限度地保护周围的脊髓、唾液腺等重要正常器官,有效控制了已知病灶。
更为关键的是,我们深知对于此类已发生转移的肿瘤,必须采取系统性的治疗策略。因此,在放疗后,我们及时为患者启动了“紫杉醇+顺铂”的联合化疗,并前瞻性地加入了分子靶向药物尼妥珠单抗,构建了“化疗+靶向”的双重攻势。
这一方案旨在全面肃清体内潜在的残余癌细胞,抑制肉眼不可见的微转移灶,从根源上降低再次复发的风险。这种将局部精准放疗与全身系统治疗深度融合的策略,充分体现了我们应对复杂、顽固性肿瘤的综合实力,标志着我院肿瘤治疗已进入“个体化综合治疗”的新阶段。
优质护理
全程关爱促进康复
在医疗技术保驾护航的同时,肿瘤一科的护理团队也为吴女士提供了全方位的优质护理服务。
“肿瘤患者不仅承受着身体的病痛,还往往伴随着心理上的焦虑和恐惧。”护士长陈鑫霞介绍,“我们的护理团队从生理、心理、社会等多个维度为患者提供全程照护。”
护理人员密切监测吴女士的病情变化,及时评估治疗反应;耐心指导她进行口腔功能锻炼,促进术后恢复;细致入微地协助她进行营养管理,改善营养状况。更值得一提的是,护理团队特别关注患者的心理需求,通过有效的沟通和心理疏导,显著缓解了患者和家属的焦虑情绪。
“每次我们有任何疑问,医护人员都会耐心解答,让我们感到非常安心。”吴女士的家属表示。
医患情深
锦旗见证医疗本质

在肿瘤一科医护人员的精心治疗和护理下,吴女士的病情日益好转,食纳和睡眠质量都得到了明显改善,最终康复出院。出院后,科室还通过随访制度,持续关注她的康复情况,提供必要的健康指导。
为表达感激之情,吴女士和家属专程送来一面写有“医德高尚医术精,关爱病患暖人心”的锦旗。金色大字熠熠生辉,承载着患者和家人对医护人员无限的感激与肯定。“这面锦旗是对我们工作的肯定,更赢得了患者和家属的信赖与赞誉。
未来,我院肿瘤内科将继续秉持初心,砥砺前行,以更精湛的医术、更优质的服务,为区域内的肿瘤防治事业贡献力量,切实担当起守护人民健康的神圣使命。
地址:如皋市福寿西路2号 联系电话:0513-87287988